消化器疾患の主な症状
- 食べ物がつかえる感じ
- 胸やけ、酸っぱい水がこみ上げてくる感じ、げっぷ
- 腹痛、吐き気
- 下痢、便秘
- 食べ物の通りが悪い
- 症状はなく肝機能・膵機能などの血液検査で発見される
- 黄疸、発熱
- 無症状のことが多いが画像検査で発見される など
東京都目黒区自由が丘2-8-17
グランデ自由が丘1階
診療時間
(受付時間)


診療時間
(受付時間)
Gastroenterology
消化器内科では、食道、胃、十二指腸を含む小腸、大腸という食べ物の通る場所(消化管)および肝臓、胆道(胆のう・胆管)、膵臓、脾臓などの栄養・消化・解毒・吸収などに働く腹部にある臓器の疾患が治療対象です。
当院では専門的知識・技術をもつ指導医・専門医である院長が診療いたします。
X線は空気の中は(透過してネガを感光させるため、フィルムには黒く写ります。一方、皮膚、脂肪、骨、結石などは、それぞれX線の透過性が異なるため、区別することができます。
この検査は腹痛などの場合に施行し、腸閉塞(イレウス)、腸管穿孔(腸管に穴があくこと)、カルシウムが沈着した結石(膵石、腎・尿管結石、胆石など)、また腸管内のガスや腹水などの診断ができます。
腹部に超音波をあて、跳ね返ってくるエコー(反射波)を利用して画像化・解析する検査です。ゼリー剤を塗った腹部にプローブ(探触子)をあて、その様子をモニターで確認します。
主に肝臓、胆のう、膵臓、腎臓などの充実性臓器に異常がないかを診断します。膀胱に尿が溜まっているなど条件がよければ、膀胱、前立腺、子宮、卵巣なども観察できます。
口や鼻からスコープを入れ、食道、胃、十二指腸を直接観察する検査です。粘膜の色調の変化や凹凸などを直接観察できるので、がんなどの早期発見にとても有効です。
また、病変が見つかった場合には、生検(組織の一部を採取する検査)を行い病理組織検査による確定診断をつけることができます。

大腸内視鏡検査は、先端にCCDカメラを装着したしなやかで細いスコープを肛門から挿入し、盲腸から肛門までの大腸の粘膜を観察します。ポリープやがん、出血、炎症などをリアルタイムに診断することができます。
また、検査中に発見された早期の大腸がんや将来がん化する可能性が高い大腸ポリープをその場で切除して治療することもできます。切除した組織は回収して生検を行い、確定診断をつけることができます。
腹部にある臓器(肝臓、胆のう、膵臓、脾臓、腎臓、膀胱、前立腺、子宮、卵巣)や腹水の診断に有用で、良性・悪性の病気の区別やその広がり、周囲との連続性などを調べるのに重要な検査です。
病変部のX線の吸収力の差によって病気を診断する方法で、造影剤を使用しない単純撮影と使用する造影撮影があり、後者ではより明らかに判定できます。近年ではマルチスライスCTと呼ばれる新しいタイプのCTが普及してきました。従来のヘリカルCTに比べてX線の検出器が多数つくことによって撮影時間が短く、動きのあるものでも撮影することができるようになったのが大きな強みです。1mm以下の幅で輪切り画像を多数積み重ねることで、従来では不可能であった縦方向の画像もあらわせるようになりました。
本検査は最寄りの連携検査機関で速やかに受けられます。
MRIは、電磁波に共鳴しやすい水素の性質を利用した検査です。体内の水素の原子核に電磁波を送って磁気共鳴させ画像化し、臓器の断面画像が得られます。肝臓、膵臓、脾臓、胆のう、腎臓など腹部臓器の腫瘍、結石などの他に動脈瘤などの血液の流れを診断することができます。
MRCPは、Magnetic Resonance Cholangiopancreatography の略で、MRI装置を用いて胆のうや胆管、膵管を同時に描出する検査です。胆石、胆管結石や膵臓のう胞性病変などの検出に特に優れています。
本検査は最寄りの連携検査機関で速やかに受けられます。
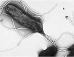
ピロリ菌は胃の中に好んで棲みつき、胃の壁を傷つける細菌で、バリー・マーシャル教授とロビン・ウォーレン名誉教授とがヘリコバクター・ピロリ(ピロリ菌)を1982年に発見し、 2005年のノーベル医学生理学賞を受賞しました。ピロリ菌が分泌する酵素(ウレアーゼ)が胃の中にある尿素を分界してアンモニアを作り、胃酸を中和して生息しています。
免疫力の弱い5歳以下の乳幼児期に口から感染して、何十年間も胃の粘液層に棲みつくと現在考えられています。ピロリ菌の持続的な感染により胃潰瘍・十二指腸潰瘍の再発を繰り返したり、また萎縮性胃炎から腸上皮化生を経て胃がんに移行する発がん性もあります。40歳までに除菌することで胃がんを防げる可能性があります。ピロリ除菌療法といっても大袈裟なことではなく1週間飲み薬を飲むだけです。日本人は基本的に存在診断がついたら、できるだけ早い時期にピロリ除菌を受けることをお勧めします。

ヘリコバクター・ピロリ菌

院長とノーベル医学賞受賞DrMarshall

ピロリ菌は幼年期に衛生環境が良くなかった年代に感染している人が多く、環境の整った現代では、感染している人の数が低下しています。また、乳幼児期に親族から口を介して感染している場合もあります。
ピロリ菌に感染したからといって、潰瘍や胃がんが必ず発症するわけではありません。しかし、ほとんどの感染者に胃炎がおこります。除菌しない限り、ピロリ菌は胃の中にすみ続け慢性的炎症が続き、胃の粘膜を防御する力が弱まり、ストレスや塩分の多い食事、発がん物質などの攻撃を受けやすい無防備な状態となります。治療できますのでご相談ください。

胃炎には急性胃炎と慢性胃炎があります。急性胃炎はアルコールや香辛料・鎮痛薬などの影響が原因といわれています。 慢性胃炎の多くはピロリ菌の持続感染が原因で、胃の粘膜に炎症を起こします。
胃潰瘍・十二指腸潰瘍は、ピロリ菌感染により胃粘液が酸の影響を受けて弱まり、胃や十二指腸の粘膜が傷ついて深くえぐられたクレーター状態のことです。
胃がんは、胃粘膜内の細胞が、何らかの原因でがん細胞になり、増殖を繰り返す状態です。胃がんの原因は喫煙や食生活などの生活習慣や遺伝の影響があると言われていますが、ピロリ菌感染が発生のリスクを高めることがわかっています。
その他の病気として、胃MALTリンパ腫・免疫性(特発性)血小板減少性(ITP)・早期胃がんの内視鏡的治療を受けた方やディスペプシア症状(みぞおち辺りの痛み・焼ける感じ、食後の胃もたれ、食事中に胃が充満した感じとなり、最後まで食事を摂取できない状態)がある方は、ピロリ菌の除菌治療が勧められてます。


ピロリ菌のもつウレアーゼ活性を測定し、菌の有無を診断します。

内視鏡で胃粘膜を採取し、染色し、顕微鏡で菌の有無を診断します。

内視鏡で胃粘膜を採取し、それを培養し、菌の有無を診断します。

血清および尿中のピロリ菌の抗体を測定します。

検査試薬を飲み、吐き出した息の中の炭酸ガスを測定し、ウレアーゼ活性を測定し菌の有無を診断します。

便の中のピロリ菌抗原を測定します。
ピロリ菌の除菌治療には、胃酸の分泌を抑制するお薬と2種類の抗生物質の3つのお薬が用いられます。この三種類のお薬を一週間服用することで、約8割の方は除菌に成功すると報告されています。そして場合に応じて胃の粘膜を保護する薬剤を併用します。
除菌薬服用後、胃の中に本当にピロリ菌がいないのかを知ることはとても重要です。なかには一度で除菌できない場合もあります。除菌後の判定検査を受診し、ピロリ菌の有無を確認しましょう。


除菌に成功したからといって、胃がんなどの病気にならないわけではありません。胃がんのリスクは約3分の1になると考えられており、決してゼロにはなりません。除菌後も定期的に内視鏡検査などを受け、胃の状態を確認しましょう。